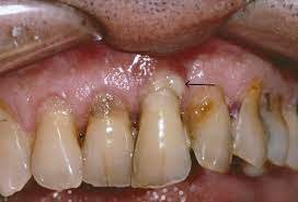
दांतों से जुड़ी बीमारियों में पायरिया भी एक गंभीर समस्या है. इसमें दांतों के अगल-बगल के मसूड़े कमजोर हो जाते हैं और वहां से रक्त का रिसाव होना शुरू हो जाता है. इसके अलावा हमेशा मुंह से दुर्गंध आती रहती है. लेकिन, कुछ ऐसे घरेलू नुस्खे भी हैं, जो पायरिया से आपको निजात दिला सकते हैं.
हजारीबाग के नवाबगंज स्थित आयुष्मान डेंटल क्लिनिक के डेंटिस्ट डॉ. संजय कुमार कुशवाहा (BDS IDST Delhi NCR, अनुभव 10 साल) बताते हैं कि दांतों में पायरिया होना बेहद सामान्य है. इसके होने के पीछे कई कारण हैं. इसके कई दुष्परिणाम भी हैं. जैसे मुंह से दुर्गंध आना, दांतों का सड़ना, मसूड़ों में दर्द-सूजन, मसूड़ों में मवाद और खून आना, दांत टूटना आदि. कई बार पायरिया के कारण लोगों के अधिकांश दांत टूट जाते हैं.
पायरिया के कारण
आगे बताया कि इसके पीछे का मुख्य कारण अधिक तंबाकू का इस्तेमाल होता है. साथ ही सही तरह ब्रश न करना भी कारण है. दांतों की साफ सफाई न करना या गलत तरीके से टूथपिक का इस्तेमाल करना भी पायरिया का रोग दे सकता है.
घरेलू नुस्खे से मिलेगी राहत
डॉक्टर ने बताया कि अगर पायरिया हो जाए तो घरेलू नुस्खे को अपना कर इस पर काबू पाया जा रहा है. इसके लिए हल्दी और नारियल का तेल काफी कारगर है. दोनों को मिलकर पेस्ट बनाकर दांतों और मसूड़ों पर इसकी मालिश करने से राहत मिलती है. लेकिन, यदि परेशानी अधिक हो तो दांत के डॉक्टर से जरूर संपर्क करें.


