ऐसा नहीं है कि हम कैंसर को रोक नहीं सकते. कैंसर के अधिकतर मामलों के लिए इंसान खुद जिम्मेदार होता है. अगर हम छोटी-छोटी बातों पर ध्यान दें तो बहुत हद तक हम खुद को कैंसर से महफूज रख सकते हैं. तो चलिए आज से ही हम इसकी शुरुआत कर लेते हैं. यूनिवर्सिटी ऑफ कैलिफोर्निया के मुताबिक कई रिसर्च में यह साबित हो चुका है कि क्रुसीफेरस सब्जियों में कैंसर कोशिकाओं को मारने वाले कंपाउड होते हैं. इसलिए यदि अपने डाइट में आप ब्रोकली, कैबेज, फूलगोभी, केल, ब्रुसेल्स स्प्राउट जैसी सब्जियों को शामिल करेंगे तो कैंसर होने का खतरा बहुत कम हो जाएगा.
सल्फोराफेन कंपाउड कैंसर के लिए दुश्मन
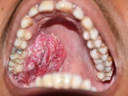
यूनिवर्सिटी ऑफ कैलिफोर्निया में ह्यूमन न्यूट्रिशन डिपार्टमेंट के एसिसटेंट प्रोफेसर विजया सूर्यमपुरी ब्रोकली और इसी तरह की अन्य सब्जियों में कई तरह के कैंसर से महफूज रखने की क्षमता है. डॉ. सूर्यमपुरी ने बताया कि 1997 में ही जॉन हॉपकिंस यूनिवर्सिटी के प्रोफेसर डॉ. जेड फाहे के नेतृत्व में एक अध्ययन हुआ था जिसमें ब्रोकली में एंटीकार्सिनोजिन तत्व पाए गए थे. उन्होंने बताया कि ब्रोकली में बहुत ज्यादा फायटोकेमिकल सल्फोराफेन होता है. यह कैंसर फाइटिंग प्लांट है. इसमें मौजूद यह कंपाउड प्रोस्टेट कैंसर, ब्रेस्ट कैंसर, कोलोन कैंसर और ओरल कैंसर के जोखिम को कम करता है. सल्फोराफेन केल, कैबेज और गार्डेन क्रेस जैसी सब्जियों में भी पाया जाता है. भारत में फूलगोभी में सल्फोराफेन की अत्यधिक मात्रा मौजूद होती है.
क्यों हैं कैंसर से बचने के लिए महत्वपूर्ण
ब्रोकली में एंटीऑक्सीडेंट्स केरोटेनोएड होता है जो इम्यून सिस्टम को बूस्ट करता है जिससे अन्य कई तरह की बीमारियों से भी रक्षा होती है. वहीं इसमें विटामिन सी और ग्लूकोसिनोलेट्स जैसे कंपाउड भी होता है जो कैंसर एंजाइम को रोकता है. इससे इंफ्लामेटरी डिजीज से भी रक्षा होती है. ब्रोकली में विटामिन बी 9 और डाइट्री फाइबर पर्याप्त मात्रा में होती है जो डाइजशन को बेहतर करता है और कोलेस्ट्रॉल लेवल को भी कम करताहै. इसके साथ ही इसमें मौजूद फ्लेवेनोएड व्लड फ्लो को बढ़ाता है जिससे वैस्कुलर डिजीज का खतरा कम हो जाता है.
फूलगोभी के अन्य फायदे
फूलगोभी से कैंसर के जोखिम को तो कम किया ही जा सकता है, इससे कई अन्य बीमारियों को खतरा कम हो सकता है. ब्रोकली की सब्जी दिल से संबंधित बीमारियो को कम करने में भी बहुत मददगार है. डॉ. सूर्यमपुरी बताती है कि अगर आप सप्ताह में 3 दिन भी ब्रोकली का सेवन किसी न किसी रूप में करते हैं तो इससे हार्ट डिजीज, पेट में गैस और ब्लॉटिंग की समस्या, हाई ब्लड प्रेशर और अन्य बीमारियों का जोखिम 50 प्रतिशत तक कम हो सकता है.


